Weisheitszähne entfernen: Wann es Zeit wird zu handeln

Weisheitszähne – bei vielen Menschen sind sie ein ständiges Thema, oft im Zusammenhang mit Schmerzen, Entzündungen oder Platzproblemen im Kiefer. Diese letzten Backenzähne, die meist zwischen dem 17. und 25. Lebensjahr durchbrechen, können problemlos wachsen, aber auch erhebliche Beschwerden verursachen. In diesem Beitrag erfahren Sie, wann eine Entfernung wirklich sinnvoll ist, wie der Eingriff abläuft und wie Sie die Heilung optimal unterstützen können.

Inhaltsverzeichnis:

Was sind Weisheitszähne?


Weisheitszähne sind die dritten und letzten Backenzähne im Ober- und Unterkiefer. Sie liegen ganz hinten in der Zahnreihe und brechen in der Regel als Letzte durch – meist zwischen dem 17. und 25. Lebensjahr. Ihren Namen verdanken sie dem Umstand, dass sie erst in einem Alter erscheinen, in dem man sprichwörtlich „weise" geworden ist.

Aus Sicht der Evolution hatten Weisheitszähne früher eine wichtige Funktion: Unsere Vorfahren hatten deutlich größere Kiefer und aßen überwiegend harte, unverarbeitete Nahrung wie Wurzeln, Nüsse oder rohes Fleisch. Dafür waren zusätzliche Kauflächen nötig. Im Laufe der Zeit hat sich unsere Ernährung verändert – sie ist weicher geworden – und auch unsere Kiefer sind kleiner.

Hinweis: Während der Kiefer geschrumpft ist, hat sich die Anzahl der Zähne nicht angepasst. Dadurch fehlt heute oft der Platz, damit Weisheitszähne gerade durchbrechen können. Die Folge: Sie wachsen schief, nur teilweise oder gar nicht aus dem Kiefer heraus. Solche „verlagerten" oder „impaktierten" Weisheitszähne können Schmerzen, Entzündungen oder Schäden an den Nachbarzähnen verursachen.


➡️ Weisheitszähne entfernen – Oralchirurgie in München – Erfahren Sie, wie wir mit modernsten Methoden und viel Erfahrung für eine schonende und sichere Entfernung Ihrer Weisheitszähne sorgen.

Typische Symptome, die für eine Entfernung sprechen


  • Wiederkehrende Schmerzen im hinteren Kieferbereich
  • Schwellungen oder Entzündungen des Zahnfleischs
  • Beschädigung benachbarter Zähne durch Druck
  • Karies an schwer zugänglichen Stellen
  • Zystenbildung im Kieferbereich
  • Schwierigkeiten beim Öffnen des Mundes

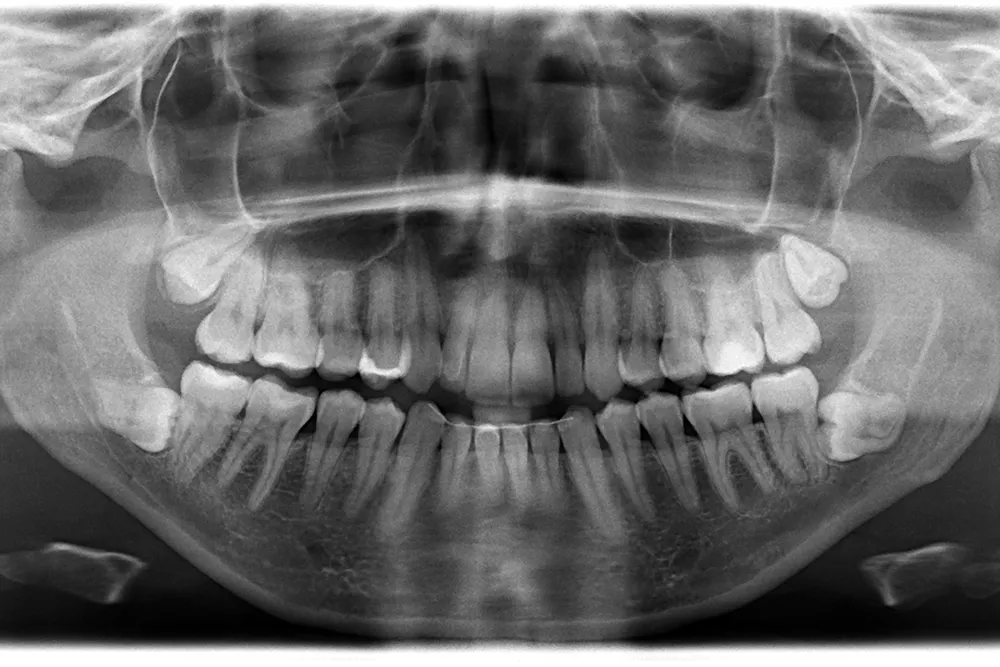
Treten diese Beschwerden regelmäßig auf oder zeigen sich im Röntgenbild problematische Zahnstellungen, empfiehlt der Zahnarzt oft eine Entfernung.

Risiken, wenn Weisheitszähne nicht entfernt werden

Bleiben problematische Weisheitszähne im Kiefer, kann dies zu Entzündungen, Zahnverschiebungen, Schmerzen und langfristig zu Schäden am Kieferknochen führen. Auch chronische Infektionen sind möglich.

Vorbereitung auf den Eingriff


Vor einer Weisheitszahnentfernung erfolgt eine gründliche Untersuchung, meist inklusive Röntgenaufnahme, um die Lage der Zähne und die Nähe zu Nerven oder Nebenhöhlen zu bestimmen. Besprechen Sie mit dem Zahnarzt oder Kieferchirurgen:

  • Ihre medizinische Vorgeschichte
  • Aktuelle Medikamente
  • Allergien oder Unverträglichkeiten

Ablauf der Operation


Der Eingriff wird in der Regel ambulant unter örtlicher Betäubung durchgeführt. Bei komplizierteren Fällen ist auch eine Sedierung oder Vollnarkose möglich.

Schritte der OP:

  • Lokale Betäubung oder Sedierung
  • Eröffnung des Zahnfleisches und ggf. Abtragen von Kieferknochen
  • Entfernung des Zahns (manchmal in mehreren Teilen)
  • Reinigung der Wunde und Nahtverschluss

Die Dauer variiert – einfache Fälle dauern wenige Minuten, komplizierte können bis zu 45 Minuten pro Zahn beanspruchen.

Nachsorge und Heilungsverlauf


  • Kühlung der Wange in den ersten 24 Stunden
  • Weiche, kühle Nahrung in den ersten Tagen
  • Keine körperliche Anstrengung oder Sport in der ersten Woche
  • Mundhygiene mit Vorsicht: Nicht direkt an der Wunde bürsten, aber vorsichtig spülen (z. B. mit Salbeitee)
  • Kontrolltermin zum Fäden ziehen nach 7–10 Tagen


➡️ Individuelle Zahnbehandlung & Nachsorge – Entdecken Sie unser umfassendes Leistungsspektrum für gesunde Zähne und eine optimale Betreuung vor, während und nach der Behandlung.

Tipps zur Schmerzlinderung


  • Schmerzmittel nach Absprache mit dem Arzt einnehmen (z. B. Ibuprofen oder Paracetamol)
  • Aspirin vermeiden, da es die Blutgerinnung hemmt
  • Kopf beim Schlafen leicht erhöht lagern
  • Keine heißen Getränke oder Alkohol in den ersten Tagen
  • Nikotin vermeiden, da es die Heilung verzögert


Tipp:

Das könnte Sie auch eventuell interessieren:

Termin online vereinbaren

Weisheitszähne – besser jetzt handeln als später bereuen

Weisheitszähne müssen nicht immer Probleme bereiten – aber wenn sie es tun, ist schnelles Handeln entscheidend. Wiederkehrende Schmerzen, Schwellungen oder Druck auf andere Zähne sind Warnsignale, die Sie ernst nehmen sollten.

Ihre Vorteile bei einer rechtzeitigen Entfernung in unserer Praxis:

  • Schonende Behandlung dank moderner OP-Techniken – für weniger Schmerzen und schnellere Heilung
  • Individuelle Betreuung – wir nehmen uns Zeit für Ihre Fragen und planen jeden Schritt mit Ihnen
  • Präzise Diagnostik durch digitale Bildgebung, um Risiken früh zu erkennen
  • Kurze Ausfallzeiten – damit Sie schnell wieder in Ihren Alltag zurückkehren können
  • Kompetente Nachsorge für eine reibungslose Heilung ohne Komplikationen

Unser Ziel: eine Behandlung, bei der Sie sich medizinisch und menschlich bestens aufgehoben fühlen.

Erfahren Sie in unserem Ratgeber, wann eine Entfernung wirklich sinnvoll ist, wie der Ablauf Schritt für Schritt aussieht und wie Sie die Heilung optimal unterstützen:


➡️ Jetzt mehr erfahren

Fazit:

Die Entfernung von Weisheitszähnen ist ein Routineeingriff, der bei rechtzeitiger Planung und sorgfältiger Nachsorge in der Regel problemlos verläuft. Wer die typischen Symptome kennt und frühzeitig reagiert, kann Komplikationen vermeiden und die Heilung deutlich beschleunigen. Wenn Sie den Verdacht haben, dass Ihre Weisheitszähne Probleme bereiten, lassen Sie sich von Ihrem Zahnarzt beraten – je früher, desto besser.

FAQs:


1. Kann ich nach einer Weisheitszahn-OP direkt wieder arbeiten gehen?

Das hängt stark von der Art Ihrer Arbeit ab. Bei einer sitzenden Tätigkeit im Büro können viele Patienten nach zwei bis drei Tagen wieder einsteigen, sofern die Schmerzen erträglich sind. Wenn Sie jedoch körperlich schwer arbeiten oder viel sprechen müssen, ist es oft besser, mindestens eine Woche zu pausieren, um Schwellungen, Blutungen oder Nachblutungen zu vermeiden. Planen Sie im Idealfall etwas mehr Zeit ein – Ihr Körper braucht Energie zur Heilung.


2. Was darf ich in den ersten Tagen nach der Entfernung essen?

In den ersten 24 Stunden sind weiche, kühle Speisen wie Joghurt, Apfelmus, Pudding oder gut gekochte Nudeln ideal. Ab dem zweiten Tag können Sie lauwarme Suppen, weiches Brot oder Rührei hinzufügen. Vermeiden Sie scharf gewürzte, sehr heiße oder krümelige Lebensmittel, da sie die Wunde reizen oder Speisereste hineinfallen können. Kauen Sie außerdem möglichst auf der gegenüberliegenden Seite.


3. Darf ich nach der OP meine Zähne normal putzen?

Die restlichen Zähne sollten Sie wie gewohnt reinigen, um Bakterien fernzuhalten. Rund um die OP-Stelle ist jedoch Vorsicht geboten: In den ersten 24 Stunden nicht direkt auf der Wunde putzen. Danach vorsichtig mit einer weichen Zahnbürste arbeiten. Zusätzliche sanfte Spülungen mit Salbeitee oder einer milden Mundspüllösung (ohne Alkohol) unterstützen die Heilung.


4. Wie lange bleibt die Schwellung nach einer Weisheitszahn-Entfernung?

Eine Schwellung erreicht oft am zweiten oder dritten Tag ihren Höhepunkt und geht danach langsam zurück. Bei konsequentem Kühlen in den ersten 24 Stunden ist die Schwellung meist nach fünf bis sieben Tagen deutlich reduziert. Falls die Schwellung nach einer Woche nicht abnimmt oder sogar zunimmt, sollten Sie den Zahnarzt kontaktieren – das könnte auf eine Entzündung hindeuten.


5. Ist Sport nach der OP erlaubt?

In den ersten fünf bis sieben Tagen sollten Sie komplett auf Sport verzichten. Körperliche Anstrengung steigert den Blutdruck und kann zu Nachblutungen führen. Leichte Spaziergänge sind erlaubt und fördern die Durchblutung, ohne den Heilungsprozess zu stören. Mit intensiverem Training oder Kontaktsportarten warten Sie besser, bis die Wunde vollständig verschlossen und vom Zahnarzt freigegeben ist.


6. Was kann ich tun, um eine Entzündung nach der Entfernung zu vermeiden?

Achten Sie auf gute, aber schonende Mundhygiene, kühlen Sie die ersten 24 Stunden regelmäßig und vermeiden Sie Rauchen sowie Alkohol. Nehmen Sie verschriebene Medikamente wie Antibiotika genau nach Anweisung ein. Ein einfacher, aber wirksamer Tipp: Nach jedem Essen vorsichtig den Mund mit lauwarmem Wasser oder Salbeitee ausspülen, um Speisereste zu entfernen, ohne die Wunde zu belasten.


Das könnte Sie auch eventuell interessieren:

Wurzelbehandlung - letzte Möglichkeit?

Ist ein schmerzender Zahn ernsthaft?

Vorher

NÄCHSTE

Themen

Lesen Sie auch

Zuhause richtig Zähneputzen: So geht’s

Gesunde Zähne in der Schwangerschaft: Ein Ratgeber für werdende Mamas

Flaschenkaries (Nursing Bottle Syndrom) vermeiden

Schnuller für Babys und Kleinkinder: Vor- und Nachteile